|
| Is Drinking Fluoride Safe? Watch for 5 minutes and learn about the effects. |
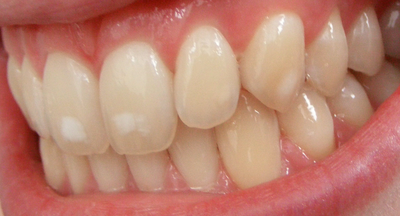
| Do you have mottled teeth? More science and information. |
- Check out these pictrues! See what drinking fluoride can do to teeth!
|
| Is Drinking Fluoride Safe? Watch for 5 minutes and learn about the effects. |
| Do you have mottled teeth? More science and information. |